Salou
Sant Pere Sant Pau
Urgéncias
  • 09H - 13H // 16 H - 20H
  • Salou : 977 384 890
  • Sant Pere : 977 200 500
Redes Sociales

Prótesis Dental

Prótesis Dental Salou Tarragona < Especialidades < Clínica Dental Salou Tarragona

Prótesis Dental Salou Tarragona

FIJAS

Llamamos prótesis dental fija a la que se usa para reemplazar las piezas perdidas o dañadas. Se usan como apoyo las piezas de los dientes naturales previamente talladas. Se llama corona si es para un diente, o puente si es para varios.

Rehabilitación completa con prótesis fija sobre implantes

Prótesis Fija

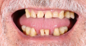
Antes

Después

  • No es necesaria la extracción de la prótesis de la boca para la limpieza o mantenimiento.
  • Es una solución rápida para suplir una o varias piezas dentales.
  • Se consigue una gran estética, sobre todo con las nuevas prótesis sin metal.

METÁLICAS

La corona puente totalmente metálico (oro,cromo,niquel…) estéticamente no es la mejor elección por su apariencia estética y se usan en dientes posteriores, sobre todo en piezas de leche dañadas en niños a los que aún les queda bastante tiempo para recambiar.

 

METAL-PORCELANA

se realizan con porcelana fundida sobre metal. Ha sido durante muchos años y continúa siéndolo una buena solución para reemplazar dientes sobre todo a nivel posterior . Con el tiempo se puede producir un halo oscuro alrededor del diente lo que en piezas anteriores hoy en día no sea la mejor opción estética.

 

CORONAS O PUENTE SIN METAL

(Disilicatio de Litio o Circonio) : como su nombre indica son las coronas o puentes que no tienen como soporte metal por lo que se consigue una aparienciencia y naturalidad extraordinaria, siendo casi imposible distinguirlos de los dientes contoguos, por eso en dientes anteriores es por su gran estética la mejor opción.

Se puede realizar en TRES fases:

 

    • 1ª sesión: Se talla la pieza natural y se toman las impresiones para enviar al laboratorio. A continuación, se coloca una corona o puente provisional para usar durante el tiempo que dure el tratamiento.Actualmente disponemos de sistemas de escaneo dental, evitando así las pastas de impresión y mejorando la comodidad del paciente.

 

    • 2ª sesión: ormalmente a los 10 dias se comprueba el ajuste de la estructura metálica o de circonio y se toma el color.

 

    • 3ª sesión: se retira el puente o funda provisional ,cementándose seguidamente el definitivo.
      En alguna ocasión , según el caso y su complejidad, puede ser necesaria alguna otra sesión mas para realizar alguna prueba intermedia.

 

* En alguna ocasión , según el caso y su complejidad, puede ser necesaria alguna otra sesión mas para realizar alguna prueba intermedia.

REMOVIBLES

La prótesis de tipo dentadura postiza se sujeta sobre la encía y también se puede apoyar a los dientes que posee el paciente. Las principales ventajas de esta prótesis, de quita y ponson la facilidad de la higiene bucal, ya que se pueden quitar para limpiar, y que se adecúa a un perfil de paciente adulto que haya perdido su dentadura y que necesite una rehabilitación de toda la boca mediante un tratamiento económico.

Las principales desventajas de las prótesis removibles son que se apoyan sobre los dientes naturales y/o encia.  Si es la primera vez que lleva una prótesis removible, a veces se necesita un cierto tiempo para acostumbrarse

Las sobredentaduras o prótesis removibles sobre implantes dentales son también llamadas prótesis mucosoportadas. Combina el soporte por implante osteointegrado con el tejido blando (encía).

 

La principal ventaja de este tipo es el menor coste que supone cuando se compara con los implantes de dientes fijos, consiguiendo una estabilidad de la prótesis similar. La sobredentadura es económicamente más costosa que en el caso de la dentadura postiza, aunque mucho más cómoda y estable.

Removible Completa

Removible Completa

Removible Parcial

Removible Parcial

Removible Mucosoportada

Removible Mucosoportada

Más Información en:

 

Prótesis Dental

Solicita tu Visita y vuelve a sonreír

Guardar